Jednak istnieje 5 produktów, które pomogą je zmniejszyć oraz zniwelują ból. Haluksy są bardzo nieprzyjemną dolegliwością.
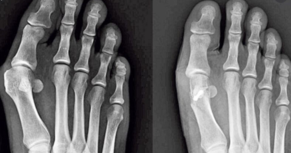
Haluks to narośl, która pojawia się z boku, po zewnętrznej stronie dużego palca u stopy, powodując jej zniekształcenie.
Wpływa na nie tylko na wygląd kończyny, ale również na codzienne funkcjonowanie osoby dotkniętej tym problemem. Co istotne, zmiany te z czasem się pogłębiają, powodując zmiany w kącie płaszczyzny stóp i przyczyniając się do ich trwałego okaleczenia. W tym artykule przyjrzymy się czynnikom, które powodują występowanie haluksów i podpowiemy, jak radzić sobie z tym schorzeniem.

Co warto wiedzieć o haluksach?
Krąży powszechne przekonanie, że występowanie halusków jest uwarunkowane genetycznie. Argumentuje się to bowiem tym, że wiele kobiet nosi zbyt ciasne obuwie, a jednak tylko część z nich doświadcza tego problemu. Objawy, które towarzyszą występowaniu tego schorzenia to najczęściej ból połączony z odrętwieniem stopy, a także zaczerwieniennie skóry, któremu towarzyszy pieczenie.
Należy wskazać, że haluksy leczy się wyłącznie hirurgicznie. Zanim jednak dojdzie do takiego zabiegu, trzeba jakoś funkcjonować na co dzień. W dalszej części artykułu zdradzamy kilka sposobów na to, aby złagodzić dolegliwości związane z występowaniem schorzenia.

Sposoby poprawiające komfort życia osób dotkniętych problemem haluksów
To, co może powodować ulgę, to niewątpliwie zaprzestanie noszenia zbyt ciasnego obuwia. Warto również unikać nadmiernego stania, co jak wiadomo obciąża stopy. Ponadto, dobrym rozwiązaniem okażą się:
1. Ciepła oliwa z oliwek.
Rozgrzaną oliwą należy przez 15 minut masować haluks oraz pozostałe części stopy. Dzięki temu dochodzi do poprawy krążenia i pobudzenia mazi stawowej.
2. Sok z czerwonej ostrej papryki.
Warzywo w ostrej odmianie zawiera dużą ilość kapsaicyny. Jest to związek wykazujący działanie bakteriobójcze, bakteriostatyczne, a także rozgrzewające. Należy wycisnąć sok z warzywa bezpośrednio na zmianę chorobową, dodać wazelinę i kolejno przykryć papkę bandażem. Najlepiej stosować dwa razy dziennie.
3. Podgrzany olej rycynowy.
Wykazuje właściwości przeciwzapalne, zmniejszające opuchliznę i łagodzące ból. Rozgrzanym olejem należy nasączyć wacik, a następnie obłożyć nim haluksa. Dla osiągnięcia najlepszego efektu, zaleca się dodatkowe przykrycie ręcznikiem, w celu utrzymania temperatury.
4. Sól Epsom.
Dzięki obecności siarczanu magnezu, łagodzi ból i stany zapalne. Pół szklanki soli Epsom należy rozpuścić w wannie lub w misce z wodą i kolejno moczyć w niej przez 20 minut, 2 razy dziennie. Taki zabieg pozwoli zmniejszyć rozmiar haluksa.
5. Okład z lodu.
Pokruszone kostki lodu umieścić w płóciennym woreczku, a następnie przyłożyć do haluksa. Czynność tą warto powtarzać kilka razy dziennie, gdyż niweluje ból i zmniejsza obrzęk.
Comments are closed.